Apendicite Aguda - Apendicectomia
- Daniel Paulino Santana
- 18 de nov. de 2022
- 9 min de leitura
O apêndice cecal (anteriormente denominado apêndice ileocecal, apêndice vermicular ou apêndice vermiforme) é uma pequena extensão tubular terminada em fundo cego, parecido com o dedo de uma luva, localizado no ceco, a primeira porção do intestino grosso ou cólon (figura abaixo), com comprimento variável, na maioria das pessoas, entre 7 e 11 cm. Estudos indicam que o apêndice faz parte do sistema imunológico, produzindo glóbulos brancos no período da infância.

A apendicite é a inflamação do apêndice que pode ser aguda ou crônica. A apendicite aguda é a causa mais comum de dor abdominal com indicação cirúrgica de urgência (abdome agudo). Ela afeta indivíduos de ambos os sexos e de todas as faixas etárias, porém é mais frequente entre os 20 e os 30 anos e muito incomum antes dos 2 anos de idade. Ao longo da vida, 12 a 25% da população será submetida à apendicectomia. A apendicite aguda é também a causa mais comum de abdome agudo em gestantes, ocorrendo em uma a cada 700 a 1.500 gestações.
Por possuir o óstio no ceco, pode entrar e ficar retido um fecalito ou coprolito (pequena pedra de fezes), ou mais raramente um fragmento alimentar, sementes, tumores e neoplasias do apêndice, ou até mesmo um pequeno parasita intestinal, dificultando o seu esvaziamento. Outra causa muito comum é o aumento de volume dos gânglios linfáticos locais. As bactérias que permaneceram na luz do apêndice produzem gases que ficam retidos na cavidade, causando distensão da parede do apêndice e dor. Este aumento da pressão dentro do lúmen do órgão gera isquemia (falta de oxigênio). Após várias horas de deficiência de oxigénio, a isquemia transforma-se em necrose e gangrena (morte das células), que estimula uma maior multiplicação das bactérias. Se não removido a tempo, a maior complicação é a perfuração da parede com extravazamento do pus do seu interior e de conteúdo fecal do intestino grosso, com risco de infecção intra-abdominal, sepse e até mesmo óbito.


Apêndice cecal com aspecto normal

Apêndice cecal inflamado em fase tardia já com sinais de gangrena
A apendicite crônica ou recorrente é, na verdade, composta por apendicites subagudas repetidas, que levam à inflamação contínua do apêndice. Normalmente, há uma hipertrofia da mucosa (membrana que reveste internamente) do apêndice, levando ao acúmulo de secreções no seu interior. Ao contrário do que ocorre na apendicite aguda, na forma crônica ou recorrente, o aumento da pressão dentro do lúmen é suficiente para vencer a obstrução, provocando alívio temporário da inflamação e dos sintomas. Os pacientes que têm apendicite recorrente ou crônica podem apresentar quadros cíclicos de dor abdominal do quadrante inferior direito, que só desaparecem após a retirada cirúrgica do apêndice por acabarem por evoluiur um dia para um quadro de apendicite aguda.
O diagnóstico de apendicite é difícil devido ao grande número de casos que apresentam apenas alguns, ou até nenhum sintoma específico até muito tarde na progressão da doença. As apendicites com poucos sintomas são mais frequentes em idosos ou crianças pequenas. Outro problema é que o apêndice pode ter localizações raras, o que dificulta a atribuição de uma dor num local onde ele não seja comum (como no lado esquerdo).
Quadro clínico
Os sintomas clássicos (não presentes em muitos casos) são:
Dor no abdome inicialmente acima do umbigo na região epigástrica (área do estômago), movendo-se para o quadrante inferior direito (fossa íliaca direita) após algumas horas (no ponto de MacBurney), tornando-se progressiva. Em certos casos, a dor pode ser de forte intensidade.

Falta de apetite é um dos principais sintomas. No entanto, como aparece em qualquer quadro infeccioso, torna-se um sinal inespecífico. Costuma ser o primeiro sinal
Náuseas e vômitos, principalmente no início do quadro.
Parada do funcionamento do intestino
Febre baixa, em geral abaixo de 38°C
Queda do estado geral
Estes sintomas geralmente se agravam com a progressão da doença.
Na avaliação clínica do paciente, alguns sinais podem ser observados. Com o processo inflamatório próximo à parede abdominal anterior, a liberação brusca de uma compressão manual na fossa ilíaca direita causa dor forte, o denominado sinal de Blumberg. Caso o apêndice seja retrocecal (atrás do ceco), não há rigidez da parede abdominal anterior, mas o comprometimento do músculo psoas causa dor ao flexionar a coxa sobre a pelve. O sinal de Lapinsky corresponde à dor quando se realiza compressão do ceco enquanto a coxa direita é flexionada sobre a pelve. Se o quadro progride para inflamação de todo o peritônio, a contratura da parede abdominal é progressiva, bem como há agravamento do comprometimento sistêmico. Em casos de peritonite difusa, a dor, o rebote doloroso e a contratura involuntária tornam-se generalizados no abdome. Há distensão abdominal em quadros de peritonite difusa ou quando o flegmão (processo inflamatório) englobar o íleo distal (porção terminal do intestino delgado que chega no ceco), pode ocorrer um quadro de obstrução intestinal.
Diagnóstico
O diagnóstico de apendicite aguda tem como base a história e o exame físico do paciente, e estes são, muitas vezes, suficientes para a indicação do tratamento cirúrgico. Nos casos considerados típicos, principalmente em homens jovens, pode ser desnecessária a realização de exames complementares. Porém, na maioria dos casos, o diagnóstico diferencial com doenças de tratamento não operatório deve ser investigado com exames. No hemograma, a alteração mais comum é a elevação dos leucócitos, chamada leucocitose, até 18.000/mm. Se a taxa de leucocitose estiver acima de 20.000/mm³, frequentemente associa-se esta à ruptura do apêndice. No início do quadro, o hemograma pode estar dentro dos padrões normais, o que não afasta a suspeita. O exame comum de urina deve ser realizado para auxiliar no diagnóstico diferencial com infecção urinária ou eliminação de cálculo renal (ureterolitíase). Nos casos em que o apêndice inflamado está em contato com o ureter ou com a bexiga, pode ocorrer eliminação de leucócitos (piúria) ou hemácias (hematúria) na urina.
A radiografia de abdome rotineiramente agudo não faz parte da investigação usual de apendicite.
A ultrassonografia abdominal pode ser muito útil para confirmação diagnóstica. Os achados serão de dor à compressão com o aparelho, estrutura tubular de fundo cego, sem peristalse, com diâmetro maior ou igual a 6 mm à compressão com o aparelho, com líquido ao seu redor. A visualização do fecalito e os outros sinais ecográficos praticamente diagnosticam a condição. Muitas vezes a identificação do apêndice pode ser difícil na ultrassonografia, como em pacientes obesos e quando o apêndice é retrocecal, devendo-se realizar outros exames nos casos duvidosos.
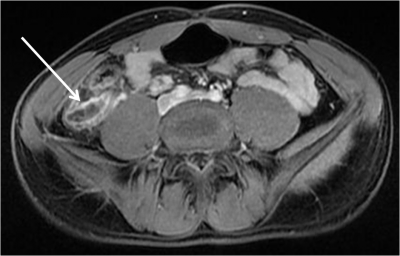
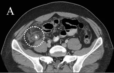
A tomografia computadorizada de abdome apresenta valores iguais ou superiores aos da ultrassonografia. O uso desse exame é limitado devido a custo, exposição à radiação e alergia ao contraste. Apresenta boa sensibilidade, pois o apêndice é mais facilmente localizado e características como aumento do seu calibre, inflamação dos tecidos a volta e presença de fecalito na base do apêndice e líquido são altamente sugestivos de apendicite aguda.
Figura 1: imagem de tomografia mostrando apêndce cecal distendido. Figua 2: imagem de tomografia mostrando fecalito na base do apêndice ceal.
Gestantes representam o grupo de pacientes que maior desafio impõe para a realização do diagnóstico de apendicite aguda. O crescimento do útero desloca o apêndice progressivamente para posições mais superiores no abdome. A dor, na maioria das gestantes, permanece no quadrante inferior direito. O quadro clínico tende a ser mais brando devido às alterações imunológicas normais da gestante.
Tratamento
O tratamento da apendicite aguda é cirúrgico em quase todos os casos. Representa uma exceção o grupo de pacientes pediátricos (ou não) com diagnóstico tardio de plastrão inflamatório. Esses podem beneficiar-se de tratamento com antibióticos e apendicectomia eletiva. O procedimento cirúrgico para tratamento da apendicite depende do estágio da doença e caracteriza-se por remoção cirúrgica do apêndice, lavagem da cavidade, drenagem de coleções localizadas ou, nos raros casos de comprometimento grave do intestino, ressecção parcial do colo direito. Em qualquer fase da doença, a abordagem cirúrgica pode ser realizada por cirurgia convencional aberta (laparotomia) ou por cirurgia minimamente invasiva (videolaparoscopia), sendo esta a via de acesso mais utilizada atualmente. É realizada através de 2 ou 3 pequenas incisões, e com o auxílio de um monitor.
Figura 1: incisão abdominal em apendicectomia convencional aberta. Figua 2: posicionamento de trocateres em apendicectomia videolaparoscópica
A videolaparoscopia tem a vantagem de oferecer melhor avaliação do restante da cavidade abdominal no início do procedimento, podendo-se identificar outras causas de dor abdominal (diagnóstico diferencial), principalmente quando o quadro ainda pe duvidoso. Essa vantagem é potencialmente mais relevante em mulheres, nas quais a doença inflamatória pélvica (DIP) representa um diagnóstico diferencial muito freqüente e o tratamento é bem distinto. Outro grupo de pacientes que se beneficia bastante dessa abordagem são os candidatos à grandes incisões no abdome para que a cirurgia seja realizada com segurança, como é o caso de obesos e aqueles com suspeita de peritonite nas apendicites complicadas. A lavagem da cavidade peritoneal nas peritonites é totalmente factível pela videolaparoscopia. Em alguns casos inciais, a abordagem pode ser videoaassistida com a utilização de paenas 2 pequenas incisões da parede abdominal.
A apendicectomia laparoscópica necessita de menos tempo de internação hospitalar, é menos dolorida, a recuperação é mais rápida e apresenta menor índice de complicações do que a apendicectomia convencional, entre essas a taxa de infecção de ferida operatória, além do resultado estético melhor.
Figura 1: visão do monitor na abordagem videolaparoscópica. Figua 2: resultado final após apendicectomia videoassistida com utilização de apenas 2 trocáteres, ou seja, apneas 2 incisões.
O tratamento também pode incluir a utilização de antibióticos. A escolha do uso de antibióticos depende da fase da apendicite aguda. A flora do apêndice é a mesma do intestino grosso, predominantemente representada por germes gram-negativos, sendo a Escherichia coli o mais comum, e por anaeróbios, entre eles, o Bacteroides fragilis é o mais comum. Na fase inicial e intermediária, o uso de dose única de antibióticos somente para profilaxia, na indução da anestesia ou por 24 horas, é a conduta mais indicada. Nos casos em que há abscesso ou peritonite, apendicite avançada, o tratamento deve ser continuado por alguns dias até que haja melhora dos parâmetros clínicos. Pode-se também fazer uso de drenos abdominais para que o restante do líquido contaminado dentro da cavidade seja eliminado. O dreno pode permanecer de 2 a 5 dias, dependendo da quantidade de líquidos que está saindo pelo mesmo.
O tempo de internação é de 24 horas em média, dependendo da recuperação do paciente e do grau de contaminação da cavidade abdominal (presença de pus no momento da cirurgia). O processo de recuperação pode variar dependendo da severidade da condição, se o apêndice tiver sofrido ou não uma ruptura antes da cirurgia. O processo de recuperação pós-operatório é geralmente muito mais rápido se o apêndice não tiver sido rompido. É importante que os pacientes respeitem os conselhos de seus médicos e limitem a atividade física para que os seus tecidos possam se recuperar mais rapidamente. Recuperação após uma apendicectomia pode não requerer mudanças na dieta ou no estilo de vida. Depois que a cirurgia ocorre, o paciente será transferido para uma unidade de tratamento pós-anestésica para que os sinais vitais dele ou dela possam ser monitorados de perto para detectar uma possível complicação decorrente da cirurgia ou da anestesia. Medicação para dor também pode ser administrada, caso necessário. Após os pacientes estarem completamente acordados, eles são deslocados para o quarto, para se recuperarem. Será oferecido para a maioria dos indivíduos líquidos no mesmo dia ou no dia seguinte a cirurgia para então prosseguir até a dieta cotidiana quando os intestinos voltam a funcionar corretamente. É recomendado que os pacientes andem pequenas distâncias, várias vezes ao dia. Mover-se é obrigatório e a medicação para dor pode ser dada se necessário. Completa recuperação de apendicectomias ocorrem após aproximadamente 4 ou 6 semanas, mas pode ser prolongado até 8 semanas se o apêndice tiver sofrido uma ruptura. Atividades esportivas são liberadas após 1 mês do procedimento, variando de caso a caso, podendo ser ainda mais precoce na cirurgia videolaparoscópica com boa evolução.
O exame anatomo-patológico do apêndice retirado na cirurgia serve de confirmação do diagnóstico e tem importante papel para afastar outras causas de apendicite, como tumores do apêndice cecal. Há infiltrado inflamatório constituído por neutrófilos, congestão dos vasos, edema e serosa avermelhada. Em casos avançados (denominados apendicites supurativas agudas) há grandes quantidades de pus intraluminais, e áreas de necrose da parede. O paciente deve ser retornar ao consultório com esse resultado para conferência pelo cirurgião e definição de conduta futura. Esse é um passo fundamental.
A apendicite aguda requer que a avaliação e o tratamento sejam rápidos. A típica apendicite aguda responde rapidamente a cirurgia e ocasionalmente se resolverá espontaneamente. Se a apendicite se resolve espontaneamente, permanece como controverso se após um certo intervalo uma cirurgia de apendicectomia deve ser realizada para evitar um episódio recorrente de apendicite. A apendicite atípica é mais difícil de se diagnosticar e é mais apta a se tornar complicada mesmo quando operada no início. Em qualquer caso, o diagnóstico rápido de uma apendicite e a cirurgia concede os melhores resultados e completa recuperação após 2 ou 4 semanas. Mortalidade e complicações severas não são comuns mas podem ocorrer. Especialmente se a peritonite persiste e não é tratada. Uma complicação incomum de uma apendicite é a “apendicite no toco ou coto”: inflamação ocorre no segmento remanescente de apêndice deixado após uma cirurgia incompleta realizada previamente.
Prevenção
Não há maneira de prevenir apendicite. No entanto, a apendicite é menos comum em pessoas que comem alimentos ricos em fibras, como frutas e vegetais frescos.














Fui diagnosticada com doença de Parkinson há quatro anos. Por mais de dois anos, dependi da levodopa e de vários outros medicamentos, mas, infelizmente, os sintomas continuaram piorando. Os tremores se tornaram mais perceptíveis e meu equilíbrio e mobilidade começaram a declinar rapidamente. No ano passado, por desespero e esperança, decidi experimentar um programa de tratamento à base de ervas da NaturePath Herbal Clinic.Sinceramente, eu estava cética no início, mas, poucos meses após o início do tratamento, comecei a notar mudanças reais. Meus movimentos ficaram mais suaves, os tremores diminuíram e me senti mais firme ao caminhar. Incrivelmente, também recuperei grande parte da minha energia e confiança. Tem sido uma experiência transformadora. Me sinto mais eu mesma novamente, melhor do…