Cisto Ovariano - Abdome Agudo Ginecológico
- Daniel Paulino Santana
- 18 de nov. de 2022
- 4 min de leitura
O cisto ovariano consiste no acúmulo de líquido dentro do ovário. A maioria dos cistos ovarianos ocorre como parte habitual do processo de ovulação, os chamados cistos funcionais, sendo benignos, sem riscos de se tornar um câncer. Esses cistos geralmente desaparecem em alguns meses sem qualquer tratamento, parte natural do processo de regressão. Não há necessidade de qualquer tipo de tratamento ou intervenção.

Como os cistos ovarianos se formam?
Os cistos ovarianos são formados nos ovários quando a ovulação não ocorre de forma adequada. Antes de o momento da ovulação um folículo é formado nos ovários que são responsáveis pela produção dos hormônios estrogênio e progesterona. Quando os ovários liberam um óvulo, este folículo se rompe. Em certos casos, a superfície do folículo não se rompe e a ovulação não ocorre. Consequentemente, o folículo cresce em tamanho e torna-se um cisto. Esse cisto formado devido à falta de ovulação é chamado cisto funcional. Não traz nenhum tipo de prejuízo e vai embora por conta própria sem qualquer tipo de tratamento. Costumam ter no máximo 5 cm de diâmetro. No entanto, em algumas situações, o cisto torna-se maior e enfraquece a parede dos ovários causando assim a sua ruptura. O desfecho mais comum é o simples extravasamento do líquido contido no cisto dentro do abdome, o que não causa dor ou , às vezes, dor leve. Porém, esta condição merece atenção pois pode dar origem a várias complicações, como o sangramento.
Em certas ocasIões, o cisto apresenta o rompimento de um pequeno vaso na sua parede e sangra para o seu interior. Então, o conteúdo líquido é substituído por sangue. Este tipo de cisto é denominado cisto hemorrágico.

Cisto ovariano funcional durante procedimento de videolaparosopia
Quais os sintomas mais comuns?
Geralmente os cistos ovarianos são assintomáticos e, portanto, a maioria das mulheres nem percebe que tem cistos antes de terem sido diagnosticados durante um exame ginecológico de rotina ou exame de imagem como ultrassom. No entanto, algumas mulheres podem apresentar dor discreta mesmo com um cisto inofensivo no ovário, especialmente quando crescem. No entanto, quando o cisto se rompe a mulher pode experimentar alguns sintomas que são os seguintes:
O sintoma mais comum é a dor pélvica. Os cistos mais volumosos podem causar desconforto pélvico ou dor leve e a sua intensidade pode aumentar quando o cisto se rompe. A dor é tipicamente constante e de baixa intensidade também.
A dor também pode ocorrer durante ou após relação sexual. É descrita a ruptura do cisto após a relação, o que pode gerar dor.
Quando se trata de um cisto hemorrágico, a condição pode ser bem diferente. O sangue que extravasa para dentro da pelve é algo irritante e pode causar sintomas como dor intensa persistente que não melhora com analgésicos. Alguns cistos hemorrágico pode apresentar sangramento contínuo da sua parede, podendo levar a complicações maiores, descritas abaixo.
A dor intensa também pode ocorrer em virtude de um quadro chamado de torção de ovário. Veja abaixo nas complicações.
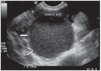
Cisto ovariano funcional em exame de ultrassom Cisto ovariano hemorrágico durante videolaparosopia
Complicações
Uma das principais complicações é o sangramento contínuo de um cisto hemorrágico e o volume de sangue torna-se grande dentro da cavidade pélvica, podendo causar febre, queda da pressão arterial e tontura, sendo casos mais graves. Se o sangramento for muito volumoso, a paciente pode evoluir com choque hemorrágico (queda severa da pressão arterial por perda de sangue). Estes casos vão demandar a realização de cirurgia de urgência.
Outra complicação frequente é a torção do ovário, especificamente da tuba uterina. A tuba gira causando uma torção e o fornecimento de sangue aos ovários vai se restringido, o que leva à morte do tecido do ovário (isquemia e necrose). Esta poder ser uma condição que necessite de cirurgia de urgência, caso a paciente evolua com dor pélvica aguda intensa e haja sinais de isquemia do ovário.

Torção de ovário durante videolaparosopia
Tratamento
A maior parte das rupturas de cistos vão evoluir sem maiores complicações e o tratamento consiste em analgesia e observação. Mesmo os cistos ovarianos hemorrágicos com sangramento de pequeno volume podem ser tratados de forma conservadora, ou seja, sem a necessidade de intervenção cirúrgica.
Nos casos em que ocorre torção do ovário ou o cisto hemorrágico roto com sangramento ativo e volumoso, a intervenção cirúrgica pode ser necessária. Esse é o chamado abdome agudo ginecológico. No primeiro caso, a intenção é preservação do ovário. A intervenção cirúrgica precoce tem o objetivo de desfazer a torção da tuba uterina e reestabelecer o fluxo de sangue para o ovário antes que ele sofra isquemia. No entanto, caso já tenha ocorrido isquemia prolongada e necrose, a retirada do ovário se faz necessária (ooforectomia). No caso de cisto hemorrágico, a cirurgia é indicada para controle da hemorragia. Inicialmente, tenta-se preservar o ovário, mas caso a hemorragia não seja bem controlada, a ooforectomia torna-se necessária.
Atualmente a via de acesso padrão ouro para o tratamento cirúrgico é a videolaparoscopia, um tipo de cirurgia minimamente invasiva. O cirurgião insufla a cavidade abdominal com gás e faz pequenas incisões na parede abdominal através das quais uma microcâmera e instrumentos cirúrgicos são inseridos. A grande maioria das cirurgias para o abdome agudo ginecológico pode ser realizada por acesso laparoscópico. SO cirurgião identifica o cisto e pode removê-lo, controlar o sangramento ou desfazer uma torção ovariana quando possível.

Desenho ilustrativo de uma videolaparoscopia
Tenho um cisto ovariano. Devo me preocupar?
A maior parte dos cistos ovarianos são funcionais e vão evoluir sem maiores complicações. Toda paciente deve ser avaliada por um especialista. Atenção especial dever ser dada na mulher após a menopausa ou em uma menina que ainda não teve a primeira menstruação. Ou seja, em pacientes que não estão na idade fértil e não ovulam. Casos de cistos volumosos (maiores que 5 cm) e em abos os ovários também devem ser avaliados com cautela. Nestes casos, serão solicitados exames, principalmente se o cisto for grande e não desaparecer em poucos meses. Embora a maioria dos cistos seja benigna, uma pequena porcentagem pode ser maligna. Às vezes, a única maneira de saber com certeza se o cisto é maligno é removendo-o cirurgicamente.










Fui diagnosticada com doença de Parkinson há quatro anos. Por mais de dois anos, dependi da levodopa e de vários outros medicamentos, mas, infelizmente, os sintomas continuaram piorando. Os tremores se tornaram mais perceptíveis e meu equilíbrio e mobilidade começaram a declinar rapidamente. No ano passado, por desespero e esperança, decidi experimentar um programa de tratamento à base de ervas da NaturePath Herbal Clinic.Sinceramente, eu estava cética no início, mas, poucos meses após o início do tratamento, comecei a notar mudanças reais. Meus movimentos ficaram mais suaves, os tremores diminuíram e me senti mais firme ao caminhar. Incrivelmente, também recuperei grande parte da minha energia e confiança. Tem sido uma experiência transformadora. Me sinto mais eu mesma novamente, melhor do…